Elite Hair Centers

We know that choosing a hair restoration provider is an important decision. At Elite Hair Centers, our unique dermatology and plastic surgery team is dedicated to delivering exceptional results with expertise and passion. This is what sets us apart from the competition.

Hair Anatomy

The entire skin surface is covered by hair follicles, except for the palms, soles, genital orifices, and lips. Approximately 100,000 of the body’s 5 million hair follicles are located on the scalp. Most hairs on the scalp are large terminal hairs, while the majority of the body’s hairs are small vellus hairs. The scalp has the highest density of hair follicles, with 300 to 500 hairs per square centimeter, which play crucial roles in thermoregulation and UV radiation protection.

The hair follicle is divided into three segments:

  • Infundibulum: Extends from the skin opening to the sebaceous gland.
  • Isthmus: Extends from the sebaceous gland opening to the arrector pili muscle insertion.
  • Inferior segment: Encompasses the deep follicle, ending with the bulb, which contains the hair matrix and dermal papilla.

The lower portion of the hair follicle comprises five main components:

  • Dermal papilla
  • Matrix
  • Hair shaft: Consists of the medulla, cortex, and cuticle layers (from inside out).
  • Inner root sheath (IRS): Includes the inner root sheath cuticle, Huxley’s layer, and Henle’s layer.
  • Outer root sheath (ORS)

The dermal papilla is made up of dermal connective tissue that invaginates into the hair follicle base and features a capillary loop supplying blood to the follicle. The hair matrix cells, surrounding the dermal papillae within the hair bulb, grow into the hair follicle and shaft as they proliferate. These matrix cells also house melanocytes, which provide pigment to the hair shaft.

lower hair shaft diagram

Lower hair shaft

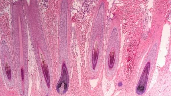
Photomicrograph of cross section human scalp showing histology of hair follicles.

Cross section of follicles on the scalp

Structure of the hair. Anatomical illustration of hair bulb and hair follicle. Detailed medical illustration
Structure hair in section under microscope illustration. Brown superficial scales with sebaceous cuticles and nerve endings with cellular vector fibers.

Lower hair shaft anatomy

Hair shafts typically have 2-3 layers. The medulla, the innermost layer, is found only in thicker terminal hairs and is surrounded by the cortex and cuticle, which fill with keratin as the hair grows. Keratin is a strong structural protein that composes hair. The hair shaft is fixed within the inner root sheath, also containing three layers: the inner root sheath cuticle, Huxley’s layer, and Henle’s layer. The inner root sheath contributes keratin and trichohyalin granules to the growing hair shaft. Trichohyalin is another protein that provides mechanical strength. The inner root sheath is integral to the lower hair shaft but less important to the upper hair shaft; therefore, it is only present until the isthmus before disintegrating.

The outer root sheath, situated outside the inner root sheath, forms the hair follicle’s external portion, extending from the lower follicle to the skin surface and opening at the infundibulum. It also serves as the attachment site for the pilosebaceous unit (oil gland) and arrector pili muscle (a tiny muscle connecting each hair follicle to the skin).

Located near the sebaceous duct opening and arrector pili muscle insertion is the follicular bulge, containing undifferentiated epithelial stem cells. These cells contribute to hair follicle growth and play a crucial role in wound healing. It is postulated that the destruction of these cells leads to permanent follicle loss in scarring alopecia.

outer inner root sheath and shaft

Inner/outer root sheath and shaft

TESTIMONIALS

{

Dr. Fischer and the staff is courteous, knowledgeable, and professional!

- Betty Bowens-Rodgers

Dr Wijay that removed my Lipoma was FANTASTIC, the staff was very personable and friendly as soon as I walked in the door. They removed a 6x6cm Lipoma and I cannot tell you how much better I feel today! These guys are 1st Class all the way!

- Kenneth Smith

It was a beautiful office, peaceful feeling. The service was very quick, Dr. Fischer was real efficient.

- Barbara Davis

Hair Loss Treatment Before and After

Before & After Gallery

*Individual results may vary.

CONTACT US

This field is for validation purposes and should be left unchanged.
Name(Required)